
ブログ
銀歯の下に大きな虫歯!

今回は古い銀歯の下がどのようになっているかの一例を紹介します(あくまで一例にすぎませんこのような銀歯もありますという感じです)。
症例

上記症例
銀歯が外れたのでやってきた。
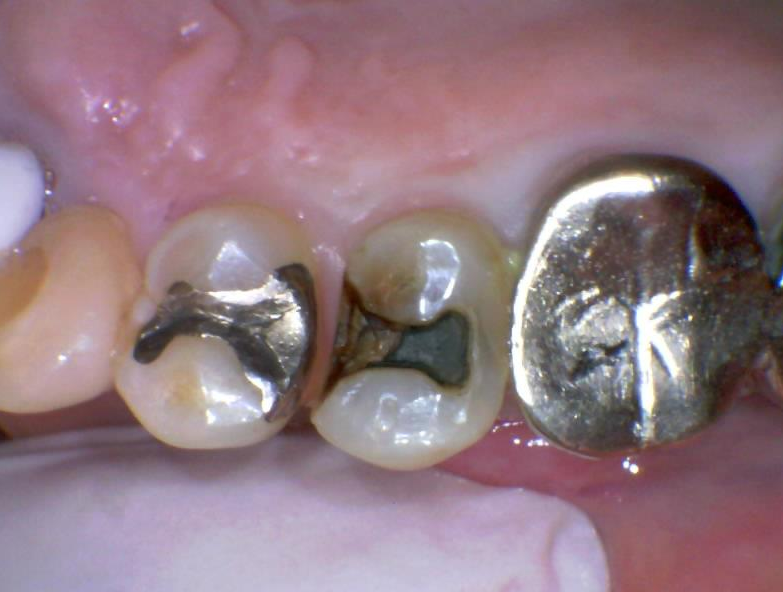
現状

初診時の写真です。患者さんは銀歯が外れた以外には痛みなどの症状は特にありませんでした。銀歯は10年くらい前?に治療したものとのことでした。ぱっと見はただ銀歯が外れているだけに見えますが、実際はとても大きな虫歯になっています。
虫歯を削ったあと

虫歯を削るとこのように大きな穴になりました。かなり大きく歯の神経近くまで削っています。正直今後痛みなどの症状が出た場合は歯の神経をとる処置(抜髄)が必要になる可能性が高いです。運よく銀歯が外れてくれてよかったです。銀歯の隙間に詰まった汚れから虫歯になり銀歯の下でゆっくり時間をかけて虫歯が進行していたため症状がでなかったのです。
なぜこんな大きな虫歯なのに痛みがでないの?
虫歯は銀歯の隙間の汚れや磨き残しを餌として成長していきます。しかし虫歯の進行はまちまちでそこそこ~しっかり歯磨きをしている人の場合は年単位でゆっくり進行していきます。今回の症例も数年かけてゆっくり成長したものと思われます(全く歯を磨かない人の場合は数か月~1年程度で急激に進行します)。このゆっくり進行が歯の神経に刺激をあたえないため痛みが出ないのです。実際歯の神経に到達しても痛みが出ないことも沢山ありますが何かの拍子に突然痛みがでます。なので痛みがでたらかなり末期の場合があります。
虫歯を削ったあとから痛いのはなぜ?
上記で説明したように虫歯は年単位でゆっくり進行するため痛みが出ないことが多いです。しかしその大きな虫歯をたった一日で削りとるため歯が強烈な刺激にびっくりして治療したあと凍みる感じやズキズキした感じがでます。大きな虫歯がある場合で歯の神経をできるだけ温存していく時は削ったあと痛みがでるのはしょうがないことになります。その痛みも1~3か月ほど様子を見ていると刺激が落ち着いてきて痛みが改善してくる場合もありますので、あまりに痛くて生活に支障がでるとかでなければ様子をみることをおすすめします。
こうならないためにはどうしたらいいの?
まず一番大事なことは毎日歯磨きをすることです!当たり前ですが意外とやらない方が多いです。そして次に歯医者さんに定期的に通って歯のクリーニングや虫歯のチェックを受けることです。銀歯の下の虫歯を見つけるのはとても難しいですが口腔内やレントゲンチェックで見つかる虫歯はたくさんあります。また毎日歯磨きをしていてもしっかり磨けていなければ虫歯になります。自分だけでは歯がちゃんと磨けているのかを歯医者さんでチェックしてもらい磨けていないところは磨けるように優しく指導してもらえると思います。
そしていざ虫歯が見つかったとなった時はしっかりした材料でしっかり治療を受けることです。銀歯など一度被せ物が入ると中で虫歯になっていても見つけることが難しくなります。結果として数年後に歯がダメになってしまうことがあります。歯は命に関係するものではないですが失ったらもう戻すことが出来ないとても大事なものです。生きていくうえで食事は避けて通れないため人生を豊かにするという点でも歯にお金を使うのは一行の余地があるのかなと思います。口の中でお困りごとがあればお気軽にご相談お待ちしております。
虫歯でお困りの方はお気軽にご相談お願いします。
上永谷駅徒歩4分丸山台の歯医者
小泉歯科医院
