
ブログ
白くて明るい歯をいれたい(ジルコニアセラミックブリッジ)

症例

上記症例
主訴:前歯が折れた。綺麗で白い被せ物で治したい
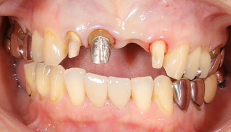
現状

術前の写真がなくてわかりずらいですが歯が一本ないところが破折してしまい抜歯したところになります。そして前後の歯は適合の悪い被せ物が入っていました。
治療方針
まずは抜歯したところをどう治すかになりますが方法としてインプラントorブリッジを提案したところ前後の歯もきれいにしたいとのことでしたのでブリッジでまとめて綺麗にしていく方法となりました。また天然の歯より白くて綺麗にしたいと希望があったためジルコニアセラミックブリッジで治療していく方針となりました。
治療期間
抜歯を含めるとおよそ3~4か月間程度です。治療回数たくさん
①診査診断
②抜歯
③仮歯を装着
④歯肉状態がよくなったら型取り
⑤ジルコニアセラミックブリッジセット
結果

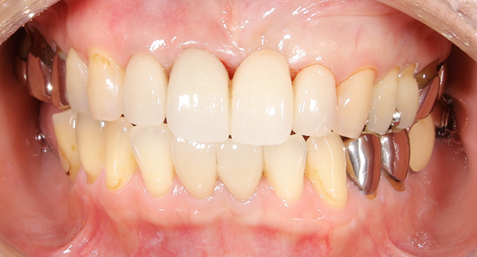
あまりにも白いと変なので天然の歯よりワントーン白くして完成となりました。術前の写真がないためお伝え出来ないですが以前の被せ物よりはかなりきれいに仕上がりました。
費用
自由診療のとなるためジルコニアセラミック4本484,000円(税込)となります。
事前治療(抜歯治療など)に関しては保険診療で対応しています。
治療におけるメリットデメリット
メリット:セラミックのため白くても隣在歯との違和感なく綺麗に仕上がります。。セラミックは汚れが付着しずらいため虫歯になりにくくなります。保険の被せ物のようにしばらくしたら黄ばんでくることもありません。
デメリット:自由診療のため費用が高額となります。歯を削るため多少歯の寿命が落ちます(今回はすでに削られていたため大きく歯の寿命を落とさずにすんでいます)。
前歯色合いでお悩みの方やセラミック治療でお悩みの方はお気軽にご相談お願い致します。
上永谷駅徒歩4分丸山台の歯医者
小泉歯科医院
