
ブログ
歯茎の出来物をとりたい(エプーリス)


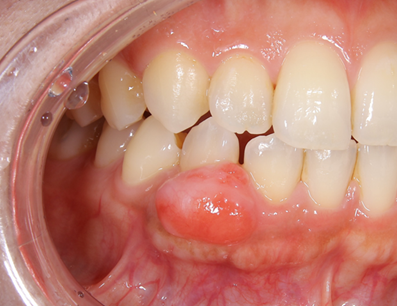
上記症例
主訴:歯茎に出来物が出来て数年たつが邪魔なので出来ればとりたい。
現状

下の犬歯のところにもっこりと出来物があります。痛みはなくややプヨプヨしている出来物です。典型的なエプーリスと呼ばれる良性の腫瘍的なものです。
ここまで成長してしまうと自然には治りません。
治療方針
腫瘍は歯を半分覆うほど大きくそのまま切り取るだけだと歯肉が著しく下がってしまい見た目が悪くなったり歯の根元が露出するため知覚過敏症状を起こしたりします。
そのため腫瘍を切り取ったあと周囲の歯茎を寄せて形態を修正していくことにしました。
治療期間
およそ1か月間程度です。治療回数4回くらい
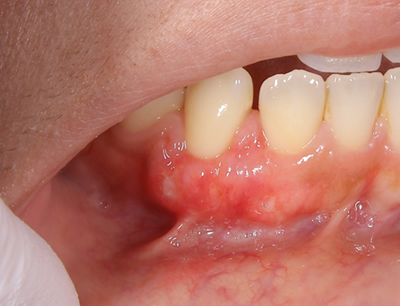
結果

これは処置後2週間の状態になりますが、かなりいい感じに引き寄せた歯茎が生着してそこまで違和感ない状態まで改善しました。あと1か月ほどするともう少しきれいになると思います。
写真だとわかりづらいですが骨が出っ張っており引き寄せられる歯茎が極端に少なかったためここまで治って私は満足しました。
費用
保険診療の範囲内です。約1~2万円程度です。
治療におけるメリットデメリット
メリット:ここまで大きくなって腫瘍(出来物)自然治癒しないため切除をすることで見た目と清掃性を格段に良くすることが出来ます。
デメリット:外科的処置のため必ずしも綺麗に治る保証はありません。傷口が感染してしまうと歯茎が著しく下がった形になることがあります。
お口の中の出来物でお悩みの方はお気軽にご相談お願い致します。
上永谷駅徒歩4分丸山台の歯医者
小泉歯科医院
