
ブログ
前歯を綺麗にしたい(ジルコニアセラミック治療)

症例

上記症例
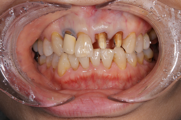
術前写真がなくてすいません。
主訴:前歯の古い被せ物をきれいにしたい。
現状

すでに被せ物を除去したあとの画像になりますが、歯を削ったところには保険のプラスチックの被せ物が入っていました。経年劣化でかなり黒ずんで見た目を悪くしていました。
治療方針
歯の土台は特に大きな支障はなかったため、隣の前歯にしっかり色合わせが出来るセラミック治療を選択し説明した結果希望されました。
治療期間
およそ1~2か月間程度です。治療回数3~4回
①診査診断
②歯を削る。健康な歯を削るためもったい感じにはなりますがしっかりやるのであればこの治療が確実になります。
③ジルコニアセラミックを被せて完成
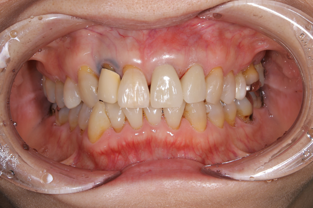
結果

かなり自然な形で歯を修復することが出来たため患者さんにはご満足していただけました。
費用
自由診療のとなるため1本121,000円(税込)×2本=242,000円程度となります。
治療におけるメリットデメリット
メリット:セラミックのため隣在歯と違和感ない色合いを出せます。セラミックは汚れが付着しずらいため虫歯になりにくくなります。保険の被せ物のようにしばらくしたら黄ばんでくることもありません。
デメリット:自由診療のため費用が高額となります。
前歯のお悩みやセラミック治療でお悩みの方はお気軽にご相談お願い致します。
上永谷駅徒歩4分丸山台の歯医者
小泉歯科医院
