- 2026-02-18
- 無断キャンセル、当日キャンセル 防止へのご協力お願い
- 2024-09-12
- 新型コロナウイルス等感染症に関する当院の対応
- 2024-09-12
- マイナンバー保険証、施設基準等についてのお知らせ
Information お知らせ
診療時間
| 月 | 火 | 水 | 木 | 金 | 土 | 日 | |
|---|---|---|---|---|---|---|---|
| 9:30~12:45 | ● | ● | ● | / | ● | ▲ | / |
| 14:30~19:00 | ● | ● | ● | / | ● | ▲ | / |
▲土曜日は午前9:15~12:30 午後14:00~17:00
受付は診療時間の30分前までです。診療後の夜間診療は行っておりません。
Feature 当院の特徴
高齢者や有病者にも対応した包括的治療
上永谷の小泉歯科医院では、 高齢者や有病者にも対応した治療 を提供しています( もちろん小児から大人まで幅広く対応 しております)。全身疾患の状況を詳しく把握し、患者さんの健康状態に応じた最適な治療計画を立てます。 将来的な通院の困難さを考慮し、長期的に安心して治療を受けられるようなアプローチ を取ることを意識した歯医者です。また医院では対応困難な症例の場合でも地域拠点病院(南部病院など)に迅速に紹介できるよう日々連携をとっております。
丁寧な説明とアフターフォロー
患者さんの不安を軽減するため、 治療前後の説明とアフターフォロー を重視しています。治療の進行に合わせて適宜説明を行い、 患者さんが今後の治療や歯の状態について理解できるよう配慮 しています。上水谷の小泉歯科医院では治療後も定期的なフォローアップを行い、 歯の健康を長期間維持するサポートを提供出来る歯医者 を目指しています。口の中の健康は治療が終わったあとが本番です!一緒に頑張りましょう!
幅広い口腔外科対応と高度な技術
上水谷の小泉歯科医院は 親知らずの抜歯 をはじめ、 多剤服用患者や全身疾患を持つ高齢者の抜歯 など、 歯周外科、歯根端切除、インプラントなど幅広い口腔外科的処置に対応 しています。他の歯医者さんで大学病院を紹介されるような難易度の高いケースでも、迅速かつ確実に対応できる技術力を持った歯医者です。
患者さんの安心を重視したアフターケアと緊急対応
口腔外科的な処置後のケアについてもしっかりとしたアドバイスを提供しています。処置後の過ごし方や歯磨きの重要性を丁寧に説明し、傷口がしっかりと治るようサポートします。さらに、緊急時やトラブルが発生した場合には、近くの 地域拠点病院(南部病院など)との密な連携により迅速な対応が可能 で、患者さんが安心して治療を受けられる体制が整っている歯医者です。
高品質な自由診療で理想の笑顔を実現
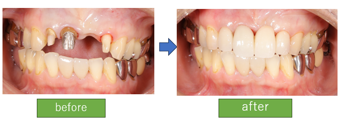
インプラント、セラミック、自費義歯などの自由診療にも注力 し、様々な技術と設備を用いた安全で精密な治療を提供しています。上水谷の小泉歯科医院は個別対応のカウンセリングで 患者さんのご希望に合わせた最適なプランを提案 し、清潔で快適な環境の中で リラックスして治療を受けていただけます 。価格が高い自由診療だからこそ治療後からのフォローがとても大事になります。小泉歯科医院では充実したアフターケアにより 長期的な歯の健康をサポート出来る歯医者 となっています。 具体的な症例や詳細はこちら!
Medical Information 診療案内

口腔外科
小泉歯科医院の口腔外科では、 親知らずの抜歯や全身疾患を持つ患者さんの抜歯・唇や舌の出来物の切除・難治性の根管治療の外科的治療など、幅広い口腔外科的処置に対応しています。痛みを最小限に抑えた治療と、緊急時の迅速な対応で安心して治療を受けられる体制を整えています。

有病者歯科
有病者歯科では、全身疾患を持つ患者さんのために、 全身状態を考慮したトータルな治療計画 を提供しています。最新機器などを駆使し、治療回数を減らしながら歯を可能な限り残す治療を行い、患者さんが安心して治療を受けられる環境を整えています。
Greeting ごあいさつ
皆様こんにちは!院長の小泉富士雄と申します。
2023年10月に上水谷の丸山台で歯医者を長年していた父(小泉政義)より医院を引き継ぎました。
父(小泉政義)も引退せず今後も治療しておりますが、今後は私小泉富士雄が新しい小泉歯科医院を盛り上げていきたいと考えています。
私は長らく横浜市立大学付属病院などの口腔外科に所属し様々な外科治療を行ってまいりました。それもあり様々な既往の患者さんの全身状態の把握しつつ様々な治療に対応することも得意としており、歯だけではなく全身状態を把握しつつ治療を行っております。
通常の歯科では判断が難しいような口の中の悩み事も判断していくことが出来るため通常の歯の治療だけではなくトータルで患者さんのお役に立てるよう日々真摯に向き合っております。お口の中でお悩みのことがあればお気軽にご相談をお待ちしております。
Purpose
なんでも相談できる
地域のかかりつけ歯医者を目指します
小泉歯科医院は上永谷丸山台周辺地域の方が安心して通っていただける歯医者になれるように、
丁寧な診療と説明・充実の設備でお子様からお年寄りまで安心してご利用いただける環境づくりをしています。
多くの方が通いやすいように日曜・祝日以外を除き、診療しています。また駐車場も5台完備しているためお車での通院もお気軽に出来ます。
